Steriletul, cunoscut și sub denumirea de dispozitiv intrauterin (D.I.U.), reprezintă o metodă contraceptivă eficientă și pe scară largă utilizată la nivel mondial. Acesta este un obiect mic, confecționat din material plastic, inserat în cavitatea uterină pentru a preveni sarcina. Cele mai comune modele au forma literei T, dar există și alte variante disponibile pe piață.
Mecanismul de acțiune al steriletului este predominant local, exercitându-și efectul prin inducerea unei inflamații la nivelul mucoasei uterine sau prin modificări hormonale locale. În cazul steriletelor nehormonale, fertilizarea poate avea loc, însă dispozitivul împiedică implantarea ovulului fecundat în peretele uterin, prevenind astfel dezvoltarea sarcinii. Această sarcină incipientă este apoi eliminată odată cu menstruația.
Eficacitatea steriletelor moderne depășește 99%, fiind comparabilă cu cea a pilulelor contraceptive. Eficiența poate crește odată cu vârsta, ajungând la aproape 100% la femeile peste 30 de ani. Steriletul este o opțiune potrivită pentru femeile active sexual care nu prezintă contraindicații specifice. Totuși, femeile care nu au finalizat planificarea familială sau care nu au născut trebuie să fie informate despre riscul de infertilitate, estimat la 1%, asociat cu inserarea unui sterilet. Riscul unei sarcini nedorite este mai ridicat la femeile sub 25 de ani.
Steriletul în Contextul Fibromului Uterin
Inserarea unui sterilet poate fi o opțiune viabilă pentru femeile cu fibrom uterin, cu condiția respectării anumitor criterii. Este esențial ca fibromul să nu fie localizat în apropierea cavității uterine, să nu o deformeze și să nu se dezvolte în interiorul acesteia. În cazurile în care uterul fibromatos este însoțit de sângerări menstruale abundente, un sterilet obișnuit ar putea exacerba aceste simptome, crescând fluxul menstrual și prelungind perioada ciclului.

Procedura de Inserare a Steriletului
Steriletul poate fi inserat în orice moment al ciclului menstrual, însă perioada ideală este reprezentată de ultimele zile ale menstruației sau zilele imediat următoare, când colul uterin este mai deschis, facilitând o inserare mai ușoară și mai puțin dureroasă. Procedura implică un consult ginecologic prealabil și o ecografie genitală. Pacienta este poziționată pe masa ginecologică, colul uterin este dezinfectat, iar steriletul este introdus prin canalul cervical în cavitatea uterină. Firele steriletului sunt apoi tăiate la aproximativ 2-3 cm de colul uterin, servind la verificarea ulterioară a prezenței dispozitivului.
Deși manevra de inserare poate fi ușor dureroasă, aceasta nu necesită anestezie generală, dar se poate recurge la analgo-sedare, dacă este necesar sau dorit de pacientă. După inserare, pot apărea dureri pelviene similare celor menstruale, care, în mod normal, dispar în câteva zile. Este recomandată verificarea periodică a prezenței firelor steriletului, de preferat după fiecare menstruație, prin palparea acestora la nivelul colului uterin.
Pacientelor li se recomandă să evite tampoanele interne și să efectueze controale ginecologice anuale. Persistența durerilor pelviene, chiar și moderate, necesită consult medical. Există un risc cunoscut de apariție a inflamației pelvine la purtătoarele de sterilet, care poate duce la infertilitate ulterioară. În primele cicluri după inserare, pot apărea sângerări moderate, datorită adaptării mucoasei uterine, însă dacă acestea persistă sau devin excesiv de abundente după primele trei cicluri, este necesar un control medical.
Steriletul nu ar trebui să genereze disconfort în timpul contactului sexual și nu ar trebui perceput de partener.
Riscurile Asociate cu Steriletul
Extragerea steriletului este indicată în situații precum dorința de a rămâne însărcinată, apropierea sfârșitului perioadei de eficiență a dispozitivului, modificarea poziției acestuia la controlul anual sau apariția unor reacții adverse greu de tolerat. Riscurile asociate cu utilizarea steriletului sunt minime dacă sunt respectate contraindicațiile. În cazuri foarte rare, steriletul poate contribui la infertilitate, în special prin agravarea unei boli inflamatorii pelvine, mai ales la pacientele cu parteneri multipli și risc crescut de boli cu transmitere sexuală. De asemenea, foarte rar, steriletul poate fi asociat cu apariția unei sarcini ectopice. Procedurile de electroterapie sau radioterapie pot necesita extragerea steriletului.
Fibromul Uterin: O Afecțiune Comună
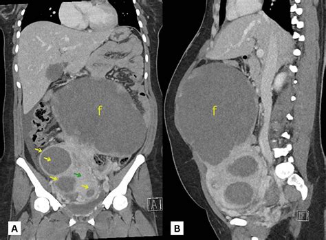
Fibroamele uterine, cunoscute și sub denumirea de leiomioame sau miomuri, sunt tumori benigne ale uterului. Acestea se dezvoltă din peretele muscular al uterului, putând fi localizate la exterior, în interiorul peretelui sau în cavitatea uterină. Fibroamele sunt compuse din țesut conjunctiv (colagen) și apar ca mase dure, albe, cu o structură spiralată.
Leiomioamele uterine reprezintă una dintre cele mai frecvente afecțiuni ginecologice la femei, afectând în special perioada de reproducere. Incidența lor este ridicată, estimată la 70% la femeile albe și peste 80% la cele de origine africană pe parcursul vieții. Fibroamele uterine sunt responsabile pentru un procent semnificativ din internările ginecologice și constituie principala cauză de histerectomie (îndepărtarea uterului).

Simptome și Factori de Risc pentru Fibromul Uterin
Deși majoritatea femeilor cu fibrom uterin sunt asimptomatice, aproximativ 30% pot prezenta simptome severe, incluzând sângerări uterine anormale, anemie, dureri și presiune pelvină, dureri de spate, urinare frecventă, constipație sau infertilitate. Cauzele exacte ale apariției fibromului nu sunt pe deplin elucidate, însă au fost identificați anumiți factori de risc:
- Istoric familial: Un risc de trei ori mai mare dacă există cazuri de fibrom în familie.
- Hipertensiunea arterială: Asociată cu un risc de cinci ori mai mare.
- Vârsta: Riscul crește odată cu înaintarea în vârstă, până la menopauză.
- Rasa: Femeile de origine africană prezintă un risc crescut.
- Factori hormonali: Nivelurile de estrogen și progesteron joacă un rol important în creșterea fibroamelor.
- Obezitatea.
- Infecții uterine.
- Stil de viață: Dieta, consumul de cofeină și alcool, activitatea fizică, stresul și fumatul.
Fibroamele pot varia în dimensiune pe parcursul ciclului menstrual, atingând apogeul în timpul ovulației și înainte de menstruație. De asemenea, pot crește în perioadele de stres.
Managementul și Opțiunile de Tratament pentru Fibromul Uterin
În multe cazuri, fibroamele uterine care nu cauzează simptome sau complicații pot fi monitorizate de medicul ginecolog fără a necesita intervenție imediată. Chirurgia devine necesară în situații precum episoade repetate de sângerare severă, necontrolabilă prin alte metode, sau atunci când fibromul atinge dimensiuni mari și provoacă simptome semnificative.
Opțiunile de tratament includ:
- Histerectomia: Îndepărtarea uterului, indicată în cazurile de sângerări necontrolabile, când pacienta nu mai dorește copii și există factori de risc pentru alte afecțiuni.
- Miomectomia: Extragerea fibroamelor, păstrând uterul. Aceasta este o opțiune pentru femeile care doresc să rămână însărcinate.
- Ablația endometrială: Distrugerea sau îndepărtarea mucoasei uterine pentru controlul sângerărilor abundente.
- Embolizarea arterelor uterine: Blocarea aportului de sânge către fibrom, determinând micșorarea acestuia. Procedura poate fi efectuată ambulatoriu sau în spital, cu un risc redus de complicații.
Chirurgia sau ablația fibromului nu elimină riscul apariției altor fibroame pe viitor, deoarece nu adresează cauzele fundamentale ale dezvoltării acestora.
Uterine Artery Embolization: A Modern Alternative to Surgery for Fibroid Treatment | 3D Animation
Abordări Naturiste și Modificări ale Stilului de Viață
Deși nu există un remediu naturist universal recunoscut pentru fibromul uterin, anumite modificări ale dietei și stilului de viață pot contribui la managementul afecțiunii. Acestea vizează, în principal, echilibrarea nivelului de estrogen, gestionarea rezistenței la insulină și reducerea inflamației pelvine.
Dieta și Stilul de Viață
Se recomandă:
- Adresarea rezistenței la insulină: Multe femei cu fibrom uterin prezintă probleme metabolice. O dietă echilibrată, evitarea micului dejun sărit și controlarea poftelor de dulce sunt esențiale.
- Detoxifierea estrogenului: O dietă bogată în fibre, care promovează tranzitul intestinal regulat, susține eliminarea excesului de estrogen din organism. Se recomandă evitarea alcoolului, a substanțelor chimice endocrine perturbatoare și a estrogenilor sintetici din contraceptivele orale.
- Aport de iod: Iodul este important pentru încetinirea creșterii fibroamelor și poate ajuta la reducerea stimulării estrogenice a mușchiului uterin. Sursele includ alge marine, pește, fructe de mare, sare iodată, lactate, ouă.
- Normalizarea nivelului de vitamina D3: Un nivel scăzut de vitamina D este asociat cu un risc crescut de fibrom uterin. Suplimentarea cu 1000-3000 UI pe zi poate fi benefică.
- Consumul de alimente bogate în fibre, fructe și legume.
- Menținerea unei greutăți sănătoase.
- Reducerea stresului.
- Controlul tensiunii arteriale.
- Evitarea expunerii la toxine din produse cosmetice, ambalaje din plastic sau pesticide.
Se recomandă limitarea sau eliminarea:
- Carnea grasă și procesată.
- Alimentele ultraprocesate.
- Zahărul adăugat și dulciurile procesate.
- Băuturile îndulcite și carbogazoase.
- Alcoolul și excesul de cafea.
- Sursele de alimente convenționale care conțin pesticide.
Este important de reținut că aceste informații au scop informativ și nu înlocuiesc consultul medical specializat. Deciziile privind tratamentul trebuie luate împreună cu medicul ginecolog.