Primul strigăt al unui nou-născut marchează un moment triumfător: tranziția de la viața intrauterină, unde oxigenul era furnizat prin placentă, la respirația autonomă, aeriană. Acest proces, deși natural, este unul dintre cele mai complexe și solicitante pentru organismul fragil al bebelușului. Plămânii, care până atunci au fost umpluți cu lichid, trebuie să se extindă și să preia sarcina vitală de a oxigena sângele. În majoritatea cazurilor, această adaptare decurge fără probleme. Există însă situații în care pot apărea complicații, iar una dintre acestea, ce necesită atenție medicală imediată, este pneumotoraxul neonatal.
Pentru a înțelege această afecțiune, este util să vizualizăm structura plămânilor. Fiecare plămân este învelit într-o membrană subțire, numită pleură. Există un spațiu foarte îngust între plămân și peretele toracic, cunoscut sub numele de spațiul pleural. Pneumotoraxul neonatal apare atunci când aerul scapă din plămân și se acumulează în acest spațiu pleural. Presiunea creată de aerul captiv împiedică plămânul să se extindă complet, ducând la colapsul parțial sau total al acestuia.
Cauzele pneumotoraxului neonatal
Pneumotoraxul neonatal poate apărea din mai multe motive:
- Apariția spontană: Uneori, pneumotoraxul se produce fără o cauză evidentă. Acest lucru este mai frecvent la nou-născuții prematuri, ai căror plămâni sunt încă imaturi și au țesuturi mai fragile.
- Intervenții medicale pentru suport respirator: Bebelușii care se nasc cu dificultăți de respirație sau cu alte probleme pulmonare pot necesita ajutor pentru a respira, ceea ce poate crește riscul de pneumotorax.
- Afecțiuni pulmonare preexistente: Nou-născuții diagnosticați cu alte probleme respiratorii, cum ar fi sindromul de detresă respiratorie (SDR) sau sindromul de aspirație de meconiu, prezintă un risc mai mare de a dezvolta un pneumotorax.
Simptomele pneumotoraxului neonatal
Un nou-născut cu pneumotorax poate prezenta următoarele simptome:
- Respirație rapidă (tahipnee).
- Efort vizibil în timpul respirației, manifestat prin retractii - pielea se trage spre interior între coaste, sub stern sau la baza gâtului.
- O nuanță albăstruie a pielii, buzelor sau unghiilor, cunoscută sub numele de cianoză, indicând un nivel scăzut de oxigen în sânge.
- Agitație sau letargie, deoarece un nou-născut care se luptă să respire își consumă multă energie.
- Dificultăți la supt, deoarece acest proces necesită coordonarea respirației.
Diagnostic și tratament
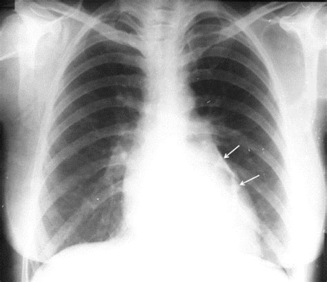
Când un nou-născut prezintă simptome sugestive pentru pneumotorax, echipa medicală acționează rapid pentru a confirma diagnosticul și a stabiliza starea copilului. Metoda standard de confirmare este radiografia toracică. Această imagine permite medicilor să vizualizeze clar prezența aerului în spațiul pleural - apare ca o zonă întunecată, fără structură pulmonară.

Tratamentul depinde de severitatea afecțiunii:
- Decompresia cu ac: Dacă acumularea de aer este rapidă și pune în pericol viața copilului prin compromiterea severă a respirației și circulației (pneumotorax sub tensiune), este necesară o intervenție de urgență. Decompresia cu ac este o procedură rapidă și salvatoare, prin care un ac subțire este introdus în spațiul pleural pentru a elibera imediat aerul sub presiune.
- Drenaj toracic: Pentru pneumotoraxurile mai mari sau persistente, tratamentul standard este plasarea unui drenaj toracic. Această procedură implică inserarea unui tub subțire și flexibil în spațiul pleural. Tubul este apoi conectat la un sistem de aspirație blândă, care îndepărtează continuu aerul, permițând plămânului să se re-expandeze complet și să se vindece.
Un nou-născut diagnosticat cu pneumotorax va fi, de regulă, îngrijit într-o Unitate de Terapie Intensivă Neonatală (TIN). Aceste unități sunt special concepute pentru a oferi monitorizare continuă și îngrijiri specializate celor mai vulnerabili pacienți.
Chilotoraxul fetal
Chilotoraxul este un tip de pleurezie care rezultă din acumularea de fluid limfatic (chil) în cavitatea pleurală. Cauza este, de obicei, scurgerea din ductul toracic sau unul dintre vasele limfatice principale care drenează în acesta. Cele mai comune cauze la adulți sunt limfomul și trauma cauzată de chirurgia toracică. La nou-născuți, chilotoraxul congenital este o cauză principală de pleurezie, fiind de două ori mai frecvent la băieței.
Macroscopic, chilul apare ca un lichid opalescent, lăptos, care se separă în trei straturi: un strat cremos superior, unul lăptos intermediar și unul inferior cu elemente celulare. Limfocitul este principala celulă din chil. S-a descoperit că chilul este bacteriostatic.
Diagnosticul chilotoraxului fetal
Diagnosticul chilotoraxului fetal se face, de obicei, în timpul ecografiei de rutină. În cazul în care medicul ginecolog suspectează această afecțiune, va recomanda un consult la un medic specializat în medicina materno-fetala pentru o examinare amănunțită. Un test numit ecocardiografie fetală poate fi efectuat pentru a determina severitatea bolii și starea inimii fătului.
Analiza lichidului pleural pentru conținutul de trigliceride ajută la confirmarea diagnosticului de chilotorax. Un nivel peste 110 mg/dl indică o șansă de 99% ca fluidul să fie chil. Un raport al colesterolului/trigliceridelor în lichidul pleural sub 1 este, de asemenea, diagnostic.
Tratamentul chilotoraxului fetal
Tratamentul chilotoraxului fetal implică mai multe abordări:
- Drenajul lichidului din spațiul pleural este esențial pentru a preveni leziunile organelor și insuficiența hepatică.
- Restricționarea grăsimilor din dietă este crucială pentru a reduce producția de chil.
- Pleurodeza chirurgicală sau chimică sunt opțiuni terapeutice care implică iritarea plămânilor și a peretelui toracic pentru a provoca inflamație și închiderea spațiului pleural.
- Tratamentul conservator, care include decompresia spațiului pleural prin toracostomie pe tub sau toracenteză repetată, reducerea producției de chil prin nutriție parenterală totală sau dietă orală fără grăsimi, poate fi eficient în cazurile cu simptome minime sau absente și pierdere minimă de chil.
- Medicamente precum somatostatina sau octreotidul au fost folosite cu succes în anumite cazuri pediatrice.
- Tratamentul chirurgical, inclusiv ligatura ductului toracic, este considerat atunci când metodele conservatoare eșuează.

Chirurgia fetală în România: O perspectivă revoluționară
În România, Spitalul Băneasa dispune de singurul Centru de Chirurgie Fetală, coordonat de Dr. Hadi Rahimian, medic primar Obstetrică-Ginecologie, cu supraspecializare în Medicină Materno-Fetală. Acest centru a devenit un reper pentru tratamentul afecțiunilor fetale complexe, inclusiv hidrotoraxul fetal bilateral.
Dr. Hadi Rahimian a introdus în România, începând cu anul 2012, conceptul de chirurgie fetală, permițând tratarea fătului încă din uterul mamei. Aceasta a reprezentat o inovație medicală majoră, oferind o șansă la viață copiilor cu afecțiuni considerate anterior incurabile sau cu prognostic sever.
Până în prezent, echipa de specialiști din Centrul de Chirurgie Fetală Băneasa a efectuat sute de intervenții intrauterine, multe dintre ele reprezentând premiere naționale. Printre acestea se numără:
- Sunt toraco-amniotic pentru hidrotorax fetal: Această procedură minim-invazivă, ghidată ecografic, permite drenarea lichidului din pleură în lichidul amniotic, facilitând dezvoltarea normală a plămânilor.
- Sunt vezico-amniotic pentru obstrucția de tract urinar
- Transfuzie intrauterină fetală pentru anemie severă
- Fotocoagulare laser pentru sindrom transfuzor-transfuzat
- Fotocoagulare laser fetoscopică de valvă posterioară (sindrom de valvă de uretră posterioară)
- Chirurgia fetoscopică laser pentru îndepărtarea bridelor amniotice
- Ocluzie traheală endoluminală fetoscopică cu balon pentru hernie diafragmatică congenitală (FETO)
- Amnioinfuzie
- Amniopatch
- Paracenteză fetală și perfuzie intrauterină de albumină pentru tratamentul ascitei fetale
- Valvuloplastie cu balon pentru stenoza severă de valvă aortică și pulmonară
- Chirurgie fetală deschisă pentru spina bifida - mielomeningocel
- Chirurgie fetală deschisă pentru tumori pulmonare - CCAM
Medicul care salvează copii înainte de naștere
Unul dintre primele cazuri de succes din România a fost cel al lui Vlad, primul copil tratat intrauterin pentru hidrotorax fetal bilateral, născut în martie 2012. Acesta a demonstrat potențialul extraordinar al chirurgiei fetale.
Experiența părinților, precum cei ai Larissei și Catrinel, subliniază importanța accesului la astfel de proceduri revoluționare în țară, eliminând necesitatea deplasărilor costisitoare și stresante în străinătate.
Echipa medicală multidisciplinară din Spitalul Băneasa, formată din anesteziști, neonatologi, ginecologi și chirurgi pediatrici, joacă un rol esențial în managementul acestor cazuri complexe, asigurând îngrijire completă de la diagnostic la recuperarea post-natală.
Deși chirurgia fetală a transformat perspectivele pentru mulți nou-născuți, îngrijirea neonatologică specializată rămâne crucială. Secția de Terapie Intensivă Neonatală modernă a Spitalului Băneasa dispune de o echipă experimentată, pregătită să gestioneze complexitatea cazurilor post-chirurgie fetală.
Hidrotoraxul fetal: O perspectivă detaliată
Hidrotoraxul fetal, sau revărsatul pleural fetal, reprezintă o acumulare anormală de lichid în cavitatea pleurală a fătului. Lichidul se găsește între plămâni și peretele toracic, putând fi uni- sau bilateral. Pe măsură ce cantitatea de lichid crește, va comprima organele din torace, cum ar fi plămânii și inima, precum și vasele mari.
Un revărsat pleural masiv are un prognostic sever, ca urmare a împiedicării dezvoltării normale a plămânilor sau producerii insuficienței cardiace cu apariția hidropsului fetal (edem generalizat) și, în final, a decesului fătului.
Cauzele sunt variate, însă cel mai adesea revărsatul pleural poate fi o descoperire izolată la un făt de altfel normal, ca urmare a unei malformații a ductului toracic (conductul care drenează limfa din corp) la nivelul toracelui. Hidrotoraxul fetal primar sau chilotoraxul este o afecțiune relativ rară, apărând la una din 10.000-15.000 de sarcini.
În alte cazuri, hidrotoraxul poate fi asociat cu hidropsul fetal și se datorează unor cauze secundare, cum ar fi infecțiile, afecțiuni ale inimii sau plămânilor, anumite anomalii cromozomiale sau boli genetice. Chiar și cu o evaluare completă, diagnosticul exact poate să nu fie făcut decât după nașterea copilului.
Ecografia prenatală permite diagnosticul hidrotoraxului fetal în timpul sarcinii. Odată ce hidrotoraxul a fost detectat, sarcina va fi monitorizată îndeaproape de către un medic specialist obstetrica-ginecologie cu supraspecializare în sarcini cu risc înalt, pentru a evalua severitatea acumulării de lichid și a determina dacă fătul este în pericol.
Hidrotoraxul fetal este o afecțiune severă, cu o rată mare de morbiditate și mortalitate perinatală, ceea ce face ca în cazuri selecționate să fie indicată intervenția intrauterină prenatală. Metoda cu cea mai mare rată de supraviețuire a fătului este suntul toraco-amniotic, o procedură chirurgicală minim invazivă efectuată sub ghidaj ecografic.

Scopul acestui sunt este realizarea drenajului lichidului din pleură în lichidul amniotic. Se realizează astfel decomprimarea inimii, vaselor mari și a plămânilor, ceea ce va permite dezvoltarea lor normală în utero, ajungând la o mărime normală la naștere. Succesul procedurii este evaluat prin ecografii seriate, dispariția revărsatului pleural și constatarea dezvoltării normale a plămânilor.
tags: #chilotorax #fetal #bilateral #sfatul #medicil