Introducere în Patologia Intestinului Subțire
Această secțiune a manualului de chirurgie se concentrează pe patologia chirurgicală a intestinului subțire, abordând o serie de afecțiuni complexe care necesită intervenție chirurgicală sau management specific. Printre acestea se numără Boala Crohn, o afecțiune inflamatorie cronică cu implicații semnificative asupra calității vieții pacienților.
Boala Crohn a Intestinului
Boala Crohn (BC) reprezintă o inflamație cronică granulomatoasă a intestinului subțire, descrisă pentru prima dată de Crohn, Ginzburg și Openheimer în 1932. Această afecțiune poate afecta orice segment al tractului digestiv, caracterizându-se prin inflamația predominantă a submucoasei, cu extindere spre mucoasă și seroasă, având un caracter transmural. Inflamația conduce la formarea de depozite de colagen, provocând contracția structurilor afectate și apariția stenozelor. Predomină colagenul de tip 1 și 5, un aspect ce diferențiază BC de colita ulcerativă, unde leziunea este exclusiv la nivelul mucoasei.
Epidemiologie
- După unii autori, Boala Crohn este cea mai frecventă afecțiune chirurgicală a intestinului subțire.
- Apare predominant la rasa albă, fiind rar întâlnită la negri și asiatici.
- Dezvoltarea socio-economică este un factor de creștere a incidenței, cu predilecție în populația nordică.
- Există două vârfuri de incidență maximă a acestei afecțiuni, la 20 și la 50 de ani, dar boala predomină la populația tânără.
Etiopatogeneză
Mecanismul de producere al BC nu este complet precizat, dar sunt incriminați o serie de factori:
- Genetici: Nu s-a putut identifica niciun marker genetic de valoare, dar s-a observat că manifestarea bolii este mai precoce pornind de la generația a II-a.
- Infecțioși: S-au incriminat o serie de factori infecțioși fără a se putea evidenția niciunul dintre aceștia.
- Imunologici:
- Arterita, colangita, uveita sunt manifestări extraintestinale autoimune ale BC.
- Terapia imunosupresivă este eficientă.
- Anticorpii umorali față de celulele colonice par a fi consecința leziunilor epiteliale și nu cauza lor.
- S-a constatat că în BC apar niveluri crescute ale IgA, IgM și IgE.
- Vasculari: Se sugerează că poate exista și o disfuncție a barierei epiteliale intestinale, care, prin creșterea permeabilității, poate determina creșterea pătrunderii antigenice la populația de risc.
- Alți factori:
- Prin inter-relația stress - mucoasa intestinală - sistem imun local, factorii psihosomatici sau psihoneuroimuni pot agrava puseul inflamator.
- Fumatul conferă un risc crescut pentru BC.
- Creșterea incidenței BC în relație cu contracepția orală.
Anatomie Patologică
Aspect Macroscopic
- Un aspect caracteristic pentru BC este discontinuitatea leziunilor, existând teritorii neafectate, intercalate cu zone afectate de BC în diferite stadii evolutive.
- Intestinul are aspect hiperemic cu pereți îngroșați, iar grăsimea din mezenter are tendința de acoperire digitiformă a suprafeței intestinale afectate.
- Mezenterul corespunzător este îndurat cu ganglioni tumefiați.
- Leziunile pot fi izolate sau multiple.
- Primele leziuni ce apar în BC sunt reprezentate de ulcerațiile aftoide: inițial sunt suple, orientate longitudinal în marginea mezostenică a intestinului subțire; între aceste ulcerații mucoasa poate avea aspect normal, determinând aspectul de „pietre de pavaj” (cobble stone).
- Stenozele apar pe de-o parte datorită progresiei lezionale, dar și din cauza procesului de remaniere colagenică.
- Fistulele se pot produce spre: colon, rect, vezică, vagin, tegument.

Aspect Microscopic
- Leziunea patognomonică este granulomul epitelioid gigantocelular.
- Infiltrat inflamator cronic mononuclear în lamina propria și submucoasă.
- Adâncirea criptelelor și turtirea vilozităților.
- Hipertrofia neuronală: terminațiile nervoase devin proeminente și la imunohistochimie se colorează intens pentru VIP.
- Vasele limfatice apar obstrucționate, iar ganglionii prezintă inflamație gigantocelulară.
Prezentare Clinică
În marea majoritate a cazurilor, debutul BC este insidios și poate avea atât predominanță digestivă, cât și extradigestivă. De cele mai multe ori, simptomatologia este discontinuă, revenind în puseuri.
Semne Generale de Debut
- Inapetență și scădere ponderală asociată cu fatigabilitate și pierderea forței musculare.
- Subfebrilitate și transpirații nocturne.
- Tulburări de creștere la copii și adolescenți.
Semne Digestive
- Diareea este moderată, neînsoțită de dureri, putând avea un caracter nocturn.
- Durerea este difuză sau localizată în cadranul inferior drept, apare la 1-3 ore postprandial ca expresie clinică a unei stenoze, are de regulă un caracter de crampă și însoțește pasajul bolului alimentar prin zona afectată.
- Steatoreea și hematochezia.
- Greața, vărsăturile și borborismele.
- Apariția fistulelor și abceselor perianale poate preceda cu 24-36 de luni diagnosticarea bolii.
Simptome Extradigestive
(mai rare în localizarea ileală a bolii)
- Eritemul nodos și artralgiile.
- Sacroileita - evoluează independent de puseele evolutive și de tratamentul BC.
- Litiaza biliară - prin tulburări de rezorbție a sărurilor biliare.
- Anemia - prin hemoragii oculte și prin deficit de vitamina B12, Fe.
- Ulceratiile metastatice (granulomatoase) - apar în regiunea submamară, pubiană și la nivelul peretelui abdominal.
- Tromboflebita - apare probabil datorită stazei și deshidratării.
Diagnostic
La un pacient cu fistulă perianală, scădere ponderală, transpirații nocturne și dureri abdominale moderate, trebuie întotdeauna suspectată Boala Crohn.
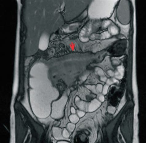
- Ultrasonografia (US), computer tomografia (CT) și rezonanța magnetică nucleară (RMN) pot evidenția îngroșarea peretelui și îngustarea lumenului intestinal.
- Aspectele radiologice tipice sunt reprezentate de „piatra de pavaj”, semnul frânghiei (segmentul ileal afectat apare stenozat și rigid cu aspect de frânghie scamoasă), ulcere fisurare și fistule.
- Aparitia unor modificări la pasajul baritat standard impune explorări complementare.
- Enteroclisma se asociază cu examinarea în dublu contrast a intestinului subțire.
- Irigografia poate pune în evidență incompetenta și rigiditatea valvulei Bauhin.
- Ileocolonoscopia și ileoscopia orală pot oferi date de acuratețe diagnostică, permițând și efectuarea biopsiei.
- Leucocitele marcate cu TC99 sau IN 111 oferă date utile privind evoluția și extensia BC.

Diagnostic Diferențial
Diagnosticul diferențial trebuie să ia în considerare:
- Colita ulceroasă (tabelul 1).
- Tuberculoza ileocecală: testul la tuberculină, evidențierea tuberculilor și a necrozei cazeoase orientează diagnosticul.
- Sindromul JOHNE (paratuberculoza): este o zoonoză ce poate fi transmisă și la om.
- Limfomul: biopsia prin laparotomie sau punctie ghidată stabilește diagnosticul.
- Ileitele acute distale: evidențierea populării cu H. pylori poate tranșa diagnosticul.
- Endometrioza: poate mima BC prin apariția stricturilor.
- Tumorile carcinoide ileale: rezistența la tratament și markerii urinari pot orienta diagnosticul.
| Parametru | Boala Crohn | Colita Ulceroasă |
|---|---|---|
| Diaree | ++ | + |
| Rectoragii | +/++ | ++ |
| Dureri abdominale | ++ | + |
| Mase abdominale palpabile | ++ | 0 |
| Fistule | ++ | 0 |
| Stricturi | ++ | 0 |
| Localizare segmentară a inflamației | ++ | 0 |
| Fibroză | ++ | +/++ |
| Fisuri, Fistule | ++ | 0 |
| Grăsime mezenterică, afectare ganglionară | ++ | 0 |
| Granuloame | ++ | 0 |
| Legenda: = niciodată; + = ocazional; +/- = rar; ++ = frecvent. | ||
Complicațiile Bolii Crohn
Complicatiile în BC au următoarele caracteristici: sunt evolutive, secundare procesului de fibroză parietală (obstrucție) sau progresiei transmurale a procesului inflamator (fistule, perforații, abcese).
- Ocluzia intestinală:
- Poate fi acută sau cronică, este aproape constant incompletă.
- Reprezintă cea mai frecventă indicație chirurgicală.
- Perforația:
- Perforația în cavitatea peritoneală este rară, determină peritonită și impune intervenția chirurgicală de urgență.
- Perforația subacută cu formare de abcese intraabdominale enteroparietale, interileale, intramezenterice, retroperitoneale, care pot să dreneze la suprafață sau în organele învecinate, determinând apariția fistulelor.
- Perforații cronice cu apariția fistulelor externe sau interne.
- Hemoragia: Este de regulă ocultă, determinând un sindrom anemic secundar.
- Uropatia obstructivă: Apare în cazul unei fibroze postoperatorii sau prin compresiunea externă a ureterului de către o colecție de vecinătate.
- Malignizarea.
Tratamentul Bolii Crohn
Tratamentul Medical
A. Alimentația:
- Enterală: are la bază regimul hipercaloric și hiperproteic.
- Parenterală: în varianta sa de nutriție parenterală totală (NPT) nu trebuie aplicată primar decât în situații nutriționale extreme și ca pregătire pentru chirurgia programată.
B. Tratamentul Medicamentos:
- Patogenic:
- Sulfasalazina.
- Acid 5-aminosalicilic.
- Imunosupresoare:
- Steroizii - pot fi utilizați sistemic sau topic, având efect de stimulare a absorbției principiilor nutritive.
- Azatioprina - poate fi utilă atunci când doza de steroizi este în creștere sau în condiții de risc mare chirurgical.
- Ciclosporina - poate fi utilizată în formele refractare.
- Antibiotice:
- Metronidazolul - izolat sau asociat cu ciprofloxacină este bine tolerat, favorizând remisia.
- Simptomatic:
- Tratamentul anemiei: preparate de Fe, acid folic, vitamine din grupul B și oligoelemente.
- Tratamentul diareic: colestiramină, loperamid, metamucil.
Tratamentul Chirurgical
1. Indicații Operatorii:
- Ocluzia parțială sau completă.
- Prezența abceselor intraabdominale sau a peritonitei.
- Lipsa de răspuns la tratamentul medical, asociată cu agravarea simptomatologiei.
Alte Afecțiuni Chirurgicale ale Intestinului Subțire
Pe lângă Boala Crohn, manualul abordează și alte patologii chirurgicale ale intestinului subțire, inclusiv:
- Boala diverticulară
- Tuberculoza intestinală
- Invaginația intestinală
- Volvulusul intestinal
- Ischemia cronică mezenterică
- Enterita radică
- Tumorile intestinului subțire
Managementul Colicilor la Sugari
În contextul afecțiunilor digestive, este important de menționat și managementul colicilor la sugari, deși acestea nu sunt o afecțiune chirurgicală.
Deoarece colicile sunt o parte normală a vieții unor sugari și nu sunt dăunătoare, nu se recomandă, de obicei, administrarea de medicamente. Dacă sunteți îngrijorat sau vă este greu să faceți față situației, adresați-vă medicului specialist.
Nu există o singură substanță care să vindece toate cazurile de colici. Cu toate acestea, s-a demonstrat că unele tratamente sunt de ajutor:
- Eliminați proteinele din laptele de vacă: Aceasta înseamnă hrănirea cu biberonul cu o formulă hipoalergenică, dacă bebelușul a fost hrănit cu biberonul, sau o dietă fără lactate pentru mama care alăptează. Aceasta ar trebui încercată timp de două săptămâni. Dacă funcționează, atunci continuați. Dacă nu funcționează, atunci renunțați. Dacă acest lucru funcționează, nu înseamnă că bebelușul dumneavoastră este permanent intolerant la lapte, ci doar că încercarea a funcționat, iar bebelușul poate să fi răspuns bine din mai multe motive. Este posibil ca sugarul să fie în continuare alergic la proteina laptelui de vacă.
- Administrarea de picături cu un agent antispumant care reduce cantitatea de gaze și balonarea. Acesta reunește bulele mici de gaz care sunt prinse în conținutul stomacului atunci când un sugar înghite aer. Pe măsură ce bulele se grupează și devin mai mari, acestea sunt mai ușor de expulzat prin eructație sau prin trecerea gazelor.
- Administrarea de picături cu enzime care descompun lactoza din zahărul din lapte în glucoză și galactoză.
- Probioticele: echilibrează flora intestinală și, astfel, laptele se digeră mai ușor.
Complicații: Colicile nu cauzează probleme medicale pe termen scurt sau lung pentru un copil, dar acestea pot deveni stresante pentru părinți.
tags: #capatul #inchis #al #versantului #colic