Perioada adolescenței aduce cu sine numeroase schimbări în corpul unei fete, care pot genera sentimente de jenă sau stânjeneală. În plus, dacă o tânără nu a mai fost niciodată la un control ginecologic, este firesc să fie neliniștită din cauza necunoașterii procedurii. Astfel, gândul la primul control ginecologic poate fi o sursă de stres. Cu toate acestea, importanța acordată sănătății personale este esențială, iar consulturile regulate la medicul ginecolog reprezintă o componentă fundamentală a maturizării și a asumării responsabilității pentru propria stare de bine.
Informațiile prezentate în acest ghid vă vor ajuta să înțelegeți cum decurge un control ginecologic și cum vă puteți pregăti, pentru a transforma această experiență într-una plăcută și, implicit, pentru a încuraja vizitele regulate la specialist.
Medicul ginecolog ar trebui să manifeste sensibilitate și blândețe, să vă ajute să vă relaxați și să vă răspundă la toate întrebările.
Importanța controalelor ginecologice regulate
Există cel puțin trei scopuri principale ale controalelor ginecologice regulate:
- Informare: Obținerea de informații precise și confidențiale, precum și răspunsuri la orice întrebări legate de corpul în schimbare, menstruație, viața sexuală, sexualitate și sarcină.
- Prevenție: Aflarea alternativelor pentru prevenirea sarcinii și a bolilor cu transmitere sexuală, precum și înțelegerea unui stil de viață sănătos.
- Tratament: În cazul tulburărilor menstruale, durerilor sau altor probleme genitale, medicul ginecolog va efectua o serie de teste pentru a identifica cauza și va recomanda un tratament adecvat.
Când ar trebui să aveți primul consult ginecologic?
Medicii specialiști recomandă efectuarea primului consult ginecologic atunci când apar simptome precum o scurgere anormală sau durere, sau în jurul vârstei de 16-18 ani, dar nu mai târziu de 21 de ani, oricare dintre acestea survine prima.
Există, de asemenea, motive serioase care necesită un consult ginecologic de specialitate:
- O durere apărută în partea de jos a abdomenului sau în zona genitală.
- O scurgere vaginală asociată cu mâncărime, senzație de arsură, miros neplăcut, în special dacă ați început viața sexuală.
- Absența menstruației până la vârsta de 15 ani sau la 3 ani după începerea dezvoltării sânilor.
- Sângerare vaginală care durează mai mult de 10 zile.
- Absența menstruației, în special dacă sunteți activă sexual.
- Crampe menstruale intense care vă împiedică să mergeți la școală sau la serviciu.
Rețineți că, indiferent de vârstă sau de statutul sexual, dacă prezentați oricare dintre simptomele menționate, este important să solicitați un consult ginecologic.
Este necesar un consult ginecologic dacă sunt virgină?
Chiar dacă sunteți virgină, este necesar să mergeți la un consult ginecologic dacă prezentați unul dintre simptomele menționate. Examinarea ginecologică nu afectează himenul (membrana care acoperă parțial orificiul vaginal) și este similară cu utilizarea tampoanelor vaginale.
Pregătirea pentru consultul ginecologic
Înainte de consult
- Programare: Programați consultul ginecologic în mijlocul ciclului menstrual.
- Evitați: Cu 48 de ore înainte, evitați contactul sexual, utilizarea produselor de igienă intimă (geluri, ovule, creme) și spălăturile vaginale.
- Întrebări: Gândiți-vă dinainte la întrebările pe care doriți să le adresați medicului și notați-le.
Medicul vă va adresa, de asemenea, o serie de întrebări despre istoricul medical personal și familial. Este important să vă pregătiți răspunsurile:
- La ce vârstă ați avut prima menstruație?
- Data ultimei menstruații?
- Cum este ciclul menstrual (regulat/neregulat, abundent/ușor, dureros)?
- Câte zile durează ciclul?
- Există boli în familie (în special la mama, bunica din partea mamei sau sora)?
- Ați avut intervenții chirurgicale în trecut?
- Urmați vreun tratament în prezent și pentru ce afecțiune?
- Sunteți alergică la vreun medicament?
- Care este stilul dvs. de viață (fumați, faceți sport, consumați alcool, urmați o dietă)?
Dacă sunteți activă sexual, medicul vă va întreba despre:
- Metoda contraceptivă utilizată.
- Istoricul infecțiilor cu transmitere sexuală.
În ziua consultului ginecologic
În ziua programării, nu este necesară o pregătire specială. Efectuați igiena obișnuită, dar evitați aplicarea cremelor sau pudrelor în zona intimă. Purtați haine comode, ușor de îndepărtat.
La cabinet, asistenta vă va solicita să vă dezbrăcați, oferindu-vă intimitatea necesară. Veți primi un halat de unică folosință și papuci, pentru a vă simți mai confortabil.
Desfășurarea consultului ginecologic
Prima parte a consultului
Medicul ginecolog va începe prin a vă cunoaște, solicitând istoricul medical personal și familial și motivele vizitei. Deși subiectele pot fi delicate, este esențial să fiți sinceră, deoarece detaliile pot orienta medicul către un diagnostic corect. Orice informație împărtășită este strict confidențială.
Examinarea ginecologică propriu-zisă
Pentru a vă simți cât mai bine, este recomandat să goliți vezica înainte de examinare. Medicul vă va explica fiecare etapă a examenului.
Veți fi așezată pe masa ginecologică, cu picioarele în suporturile speciale. Acest moment poate crea o ușoară stânjeneală, dar amintiți-vă că este o procedură standard. Comunicați medicului dacă vă simțiți speriată sau inconfortabil.
Examenul ginecologic cuprinde trei părți:
- Examinarea organelor genitale externe (vulva): Medicul, purtând mănuși, va examina zona externă.
- Examinarea cu speculul: Un instrument numit specul (sau "valve"), din metal sau plastic, va fi introdus lubrifiat în vagin pentru a permite vizualizarea vaginului și a colului uterin. Procedura nu este dureroasă, dar poate crea o senzație neobișnuită. Respirația profundă și relaxarea musculară pot facilita examinarea. Prin acest examen se pot diagnostica polipi cervicali, leziuni pe col sau condiloame. Dacă aveți 21 de ani sau sunteți activă sexual, medicul poate recolta testul Papanicolau, o procedură nedureroasă care presupune colectarea celulelor de la nivelul colului uterin cu o periuță fină. Recoltarea optimă se face între zilele 10-14 ale ciclului menstrual, evitând contactul sexual și spălăturile intravaginale cu 48 de ore înainte. De asemenea, se poate recolta o probă din secreția vaginală pentru testarea bolilor cu transmitere sexuală.
- Tuseul vaginal (examenul bimanual): Medicul introduce două degete lubrifiate în vagin, în timp ce cu cealaltă mână apasă ușor pe abdomen. Astfel, poate palpa uterul și ovarele, evaluând dimensiunea uterului și prezența sensibilității la nivelul ovarelor și trompelor uterine. Această manevră poate diagnostica fibroame uterine, chisturi ovariene, boala inflamatorie pelvină etc. Durerea în timpul acestui examen poate indica o afecțiune asociată.
Deși descrierea poate părea complexă, examenul ginecologic durează, în realitate, doar 3-5 minute.
Examinarea sânilor
Uneori, medicul ginecolog poate efectua și un examen al sânilor pentru a detecta eventuale modificări sau noduli. Acest examen este recomandat anual, începând cu vârsta de 21 de ani, ca metodă de screening pentru cancerul de sân.
Ecografie transvaginală
În funcție de dotările cabinetului, consultul poate fi completat cu o ecografie transvaginală, o metodă cu o acuratețe ridicată în stabilirea diagnosticului.

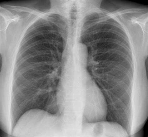
Ce este radiografia pulmonară?
Radiografia pulmonară este o investigație imagistică ce utilizează raze X pentru a crea o imagine detaliată a plămânilor și a structurilor toracice adiacente. Procesul implică trecerea unor cantități mici de radiații X prin corp, cu plămânii ca punct focal, iar imaginea rezultată este înregistrată de un detector special. Este una dintre investigațiile radiologice frecvent utilizate în diagnosticarea afecțiunilor pulmonare, oferind o imagine clară și detaliată.
O radiografie cu trimitere de la medicul de familie sau specialist este gratuită. Costul unei radiografii pulmonare fără trimitere poate varia.

Cum decurge o radiografie pulmonară?
Radiografia pulmonară este o procedură simplă și rapidă, care nu necesită o pregătire specială. Se recomandă purtarea de haine lejere și confortabile, ușor de îndepărtat de la brâu în sus, și eliminarea oricăror bijuterii sau obiecte metalice din zona toracelui.
Există două tipuri principale de radiografii pulmonare:
- Antero-posterioară (AP): Pacientul este poziționat în picioare, cu fața la aparatul de radiografie, mâinile pe șolduri și pieptul lipit de placa de imagine. Se cere o inspirație profundă și reținerea respirației pentru câteva secunde.
- Laterală (de profil): Pacientul stă cu partea laterală a corpului lipită de placa de imagine, cu brațele ridicate deasupra capului.
Procedura este nedureroasă și durează doar câteva minute. Este importantă menținerea imobilității pe parcursul examinării pentru obținerea unei imagini clare.
Interpretarea rezultatelor este realizată de un specialist în imagistică medicală, care va lua în considerare istoricul medical și simptomele pacientului.
Ce se vede la o radiografie pulmonară?
La o radiografie pulmonară, medicul poate identifica anomalii sau schimbări în structura plămânilor. Prin contrastul dintre aerul din plămâni și țesuturile înconjurătoare, pot fi vizibile diverse afecțiuni:
- Pneumonie: Infecție care afectează alveolele pulmonare, umplându-le cu lichid sau puroi.
- Tuberculoză: Boală infecțioasă contagioasă cauzată de bacteria Mycobacterium tuberculosis.
- Cancer pulmonar: Poate începe în orice parte a plămânilor și se poate răspândi în alte zone ale corpului.
- Emfizem pulmonar: Deteriorarea alveolelor pulmonare, adesea cauzată de fumat, ducând la dificultăți de respirație.
- Pneumotorax (colapsul plămânului): Acumulare de aer între plămân și peretele toracic, care duce la colapsarea parțială sau totală a plămânului.
- Fibroză pulmonară: Cicatrizare progresivă a țesutului pulmonar, care determină rigidizarea și îngroșarea plămânilor.
- Atelectazie: Colaps parțial sau complet al unui plămân sau lob pulmonar, apărând când alveolele nu se pot umfla corect.
Aceste afecțiuni pot determina apariția unor zone întunecate, zone de opacitate sau modele neregulate, care nu sunt prezente într-o radiografie pulmonară normală.

Când se recomandă radiografia pulmonară?
Radiografia pulmonară este o investigație de bază, recomandată în numeroase situații:
- Diagnostic: Pentru diagnosticarea sau urmărirea evoluției unor afecțiuni precum pneumonia, bronsita, emfizemul pulmonar, fibroza pulmonară, sau pentru a evalua efectele tratamentelor.
- Simptome specifice: Dureri toracice, dificultăți de respirație, tuse persistentă sau productivă, tuse cu sânge, febră persistentă.
- Suspiciuni: În caz de suspiciune de tuberculoză, cancer pulmonar sau alte boli pulmonare.
- Monitorizarea sănătății plămânilor: În special pentru fumători sau persoane expuse la substanțe nocive, precum și pentru pacienții cu boli pulmonare cronice (astm, bronșită cronică, fibroză chistică).
- Evaluare preoperatorie: Pentru identificarea unor posibile probleme pulmonare care ar putea complica intervenția chirurgicală sau recuperarea postoperatorie.
Riscurile și limitările radiografiei pulmonare
Deși doza de radiații este mică, radiografia pulmonară implică expunerea la radiații. Femeile însărcinate sau care suspectează o sarcină trebuie să informeze medicul înainte de procedură.
Radiografia pulmonară nu poate identifica toate afecțiunile. Anumite forme de cancer pulmonar sau embolismul pulmonar pot fi dificil de detectat. În aceste cazuri, pot fi necesare investigații suplimentare, cum ar fi tomografia computerizată (CT), imagistica prin rezonanță magnetică (RMN), bronhoscopia sau biopsia pulmonară.
Radiografia pulmonară rămâne o investigație esențială, oferind o perspectivă detaliată asupra plămânilor și structurilor toracice, contribuind la monitorizarea sănătății.
Cum funcționează razele X?
Disclaimer: Acest articol are un rol strict informativ. Informațiile prezentate nu înlocuiesc opinia unui specialist. Doar un medic poate decide când se impune efectuarea unei radiografii pulmonare și poate interpreta rezultatele.