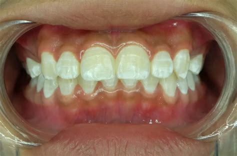
Demineralizarea dinților la copii reprezintă o afecțiune a smalțului dentar, care, în stadiul inițial, se manifestă prin apariția unor pete albe de mici dimensiuni pe suprafața dinților. Această condiție indică o cantitate insuficientă de fluor, esențial pentru întărirea smalțului. Dinții cu smalț demineralizat capătă un aspect calcaros, ușor de recunoscut de către specialiști.
Este important de menționat că demineralizarea dentară poate fi confundată cu caria dentară, una dintre cele mai frecvente afecțiuni stomatologice la copii, care poate apărea încă de la erupția primului dinte de lapte. Cariile se recunosc, în general, prin prezența unor pete negre pe dinți. Spre deosebire de carii, demineralizările debutează cu pete albe, cretoase, care se pot transforma ulterior în nuanțe gălbui sau maronii. Demineralizarea favorizează apariția cariilor, reprezentând, în esență, primul stadiu al acestora. În formele avansate, pot apărea complicații precum abcesele dentare.

Cauzele Demineralizării Dentare la Copii
Demineralizarea dentară poate fi influențată de o serie de factori, printre care se numără deficiențele nutriționale, obiceiurile alimentare și anumite probleme de sănătate. Identificarea și corectarea acestor cauze sunt esențiale pentru menținerea unei danturi sănătoase.
Lipsa Fluorului
Principalul factor declanșator al demineralizării este aportul insuficient de fluor în alimentația copilului. Fluorul este un mineral esențial pentru întărirea smalțului dentar și prevenirea cariilor. Deficitul acestuia face smalțul mai vulnerabil la atacul acid.
Deficit de Vitamina D
Vitamina D joacă un rol crucial în absorbția calciului, un alt mineral vital pentru sănătatea dinților. Un nivel scăzut al acestei vitamine poate duce la slăbirea smalțului dentar și la creșterea riscului de demineralizare. Vitamina D se regăsește în produse lactate, cereale fortificate și poate fi sintetizată de organism prin expunerea moderată la soare.
Importanța Sănătății Dinților de Lapte
Contrar mitului conform căruia dinții de lapte nu necesită tratament, aceștia joacă un rol fundamental în dezvoltarea sănătății dentare pe termen lung. Smalțul dinților temporari este mai subțire și mai predispus la demineralizare. Problemele netratate ale dinților de lapte pot afecta dezvoltarea corectă a dinților permanenți. De aceea, controalele stomatologice regulate sunt indicate încă de la apariția primului dinte de lapte.
Traumatisme Dentare
Traumatismele dentare suferite de dinții de lapte pot influența negativ sănătatea smalțului dinților permanenți, chiar înainte ca aceștia să erupă. Este recomandată consultarea unui medic pedodont în cazul oricărui traumatism dentar.
Alimentația și Obiceiurile Alimentare
Consumul excesiv de alimente și băuturi acide (cum ar fi cele carbogazoase, citricele) și dulciuri favorizează atacul acid asupra smalțului. Bacteriile din cavitatea bucală metabolizează zaharurile, producând acizi care erodează smalțul. Placa bacteriană persistentă, dacă nu este îndepărtată prin periaj, se poate transforma în tartru dentar, cauzând gingivită sau carii.
Este importantă limitarea consumului de dulciuri și băuturi îndulcite, înlocuindu-le, pe cât posibil, cu fructe proaspete. De asemenea, periajul dentar după fiecare masă sau clătirea gurii cu apă ajută la neutralizarea acidității.
Refluxul Gastroesofagian
Acestă afecțiune digestivă implică întoarcerea conținutului gastric acid în esofag și, uneori, în cavitatea bucală. Prezența acidului gastric la nivelul dinților poate afecta smalțul, ducând la demineralizare.
Factori de Risc
Pe lângă cauzele specifice, există și factori de risc generali care pot predispune copiii la demineralizarea dinților:
- Factori genetici: Anumite predispoziții genetice pot face smalțul mai sensibil la acizi și bacterii.
- Consumul de zaharuri: Favorizează dezvoltarea plăcii bacteriene și producția de acizi.
- Alăptarea prelungită: În special dacă igiena orală post-alăptare este neglijată.
- Somnul cu biberonul în gură: Expunerea prelungită a dinților la lichide ce conțin zaharuri.
- Control stomatologic rar: Întârzie depistarea problemelor și aplicarea măsurilor preventive.
Demineralizare vs. Fluoroza
Demineralizarea poate fi confundată cu fluoroza dentară, o afecțiune cauzată de un exces de fluor în perioada de formare a dinților permanenți. În timp ce demineralizarea rezultă dintr-un deficit de minerale, fluoroza este determinată de un aport excesiv, de obicei prin suplimente (pastile, picături), nu prin utilizarea corectă a pastelor de dinți cu fluor. Fluoroza se manifestă prin pete opace, albe sau gălbui pe dinții permanenți.

Simptomele Dinților Demineralizați
Manifestările demineralizării pot varia, dar există câteva semne comune:
- Pete albe sau gălbui: Apariția unor zone decolorate, opace, pe suprafața dinților. Acestea pot avea un aspect cretos și lipsit de luciu.
- Sensibilitate crescută: Disconfort la contactul cu alimente și băuturi reci, calde, dulci sau acide.
- Aspect poros sau aspru al smalțului: Dintele poate părea mai puțin neted.
- Fragilitate dentară: Pe măsură ce demineralizarea avansează, dinții pot deveni mai fragili, crescând riscul de carii și fisuri.
Demineralizare la Bebeluși
Dintii de lapte ai bebelușilor au un conținut redus de minerale, fiind mai susceptibili la demineralizare. Aceasta se poate complica cu:
- Carii de biberon: Afectează în special dinții frontali.
- Carii cauzate de hrănirea pe parcursul nopții.
- Carii determinate de igiena orală necorespunzătoare în primele luni de viață.
Demineralizare la Copii
Demineralizarea este observabilă atât la dinții de lapte, cât și la cei permanenți. La dinții permanenți, apare frecvent în primii ani după erupție, când structura dentară nu este complet matură și protecția smalțului este redusă.
Demineralizare la Adulți
La adulți, demineralizarea apare în urma expunerii repetate la acizi și dulciuri, care distrug smalțul dentar.
Când să Mergi la Medicul Pedodont
Prima vizită la medicul pedodont este recomandată încă de la apariția primului dinte de lapte. Controalele periodice, la intervale de 6 luni, permit detectarea precoce a afecțiunilor orale. Consultați medicul pedodont imediat ce observați:
- Pete albe pe dinți.
- Pete galbene pe dinți.
- Sensibilitate la rece, cald, dulce, acru.
- Durere de dinți.
Importanta vizitei la medicul stomatolog
Tratamentul Demineralizării Dentare la Copii
Deoarece demineralizarea este o afecțiune incipientă, tratamentul, de obicei, nu necesită intervenții stomatologice complexe.
Igienizări Profesionale și Detartraj
Aceste proceduri ajută la curățarea în profunzime a plăcii bacteriene și a tartrului, prevenind evoluția afecțiunii.
Fluorizarea Dinților
Medicul poate recomanda aplicarea de geluri cu fluor în cabinetul stomatologic sau utilizarea acasă a pastelor de dinți speciale sau a cremelor (geluri de remineralizare) cu o concentrație de fluor adecvată vârstei copilului.
Sigilarea Dentară
Această tehnică preventivă implică aplicarea unui material protector pe suprafața molarilor, în special a celor permanenți (molarii de 6 ani), pentru a preveni acumularea plăcii bacteriene și apariția cariilor.

Prevenția Demineralizării Dentare la Copii
Prevenția este mult mai eficientă și mai ușoară decât tratarea afecțiunilor dentare.
Igiena Orală Corectă
Îngrijirea dinților trebuie să înceapă de la apariția primului dinte de lapte. Periajul dentar de două ori pe zi, utilizarea aței dentare și, la recomandarea medicului, a apei de gură, sunt esențiale. Părinții trebuie să supravegheze și să ajute copilul la periaj până la o vârstă suficientă pentru a realiza corect procedura singur.
Alimentația Echilibrată
O dietă sănătoasă, bogată în calciu, fosfor și vitamine, contribuie la întărirea smalțului. Produsele lactate, peștele, legumele cu frunze verzi, fructele și legumele crude, nucile și semințele sunt benefice. Limitarea consumului de zaharuri și băuturi carbogazoase este crucială.
Controale Stomatologice Periodice
Vizitele regulate la medicul dentist permit depistarea precoce a oricăror probleme dentare și aplicarea măsurilor preventive adecvate.